Home Page CCR COP Antibody Validation Project : Antibody Validation Table

Antibody Validation Table

Target Protein

Company

Recommended Dilution

Source

Weight

Cross Reactivity

Positive Control

Cross Reactivity Validated by Western Blotting (Canine Samples)

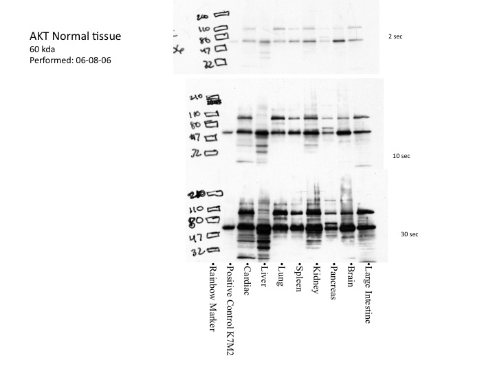
Akt

COP:Cell Signaling

1:1000

Rabbit

60kDa

H,M,R

K7M2

Protocol for Normal Tissues Western Blot
AKT Normal Tissues.jpg
Protocol For Tumor Tissues Western Blot
Western Blot-Tumor tissue

pAKT

COP:Cell Signaling

1:1000

Rabbit

60kDa

H,M,R,C,Hm

K7M2
NIH 3T3

Protocol for Normal Tissue Western Blot
pAKT Normal Tissues Blot
Protocol for Tumor Tissue Western Blot
Western Blot-Tumor tissue

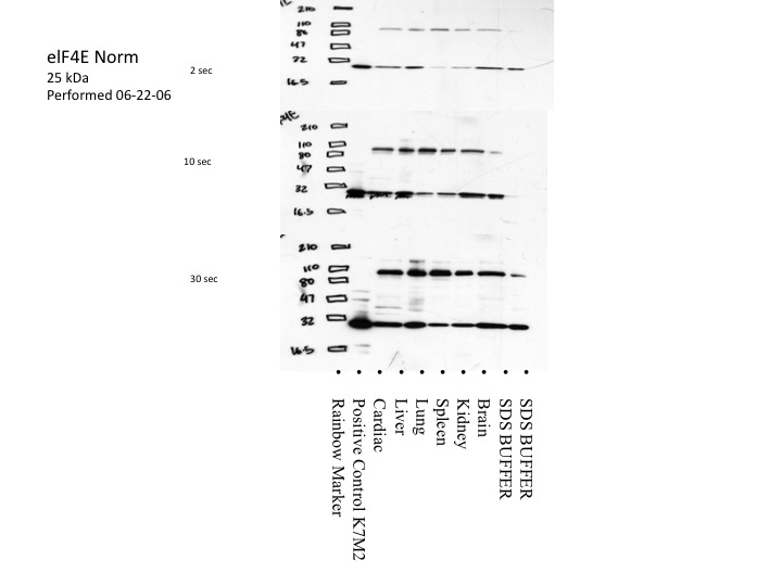
elF4E

COP:Cell Signaling

1:1000

Rabbit

25kDa

H,M,R,Z

K7M2

Protocol for Normal Tissue Western Blot 
eIF4E Normal Tissue Blot
Protocol for Tumor Tissue Western Blot
eIF4E Tumor Tissue Blot

P-elF4E 

COP:Cell Signaling

1:1000

Rabbit

25 kDa

H,M,R,Z

K7M2

Protocol for Normal Tissue Western Blot
peIF4E Normal Tissue Blot
Protocol for Tumor Tissue Western Blot
peIF4E Tumor Tissue Blot

Ezrin

COP:Sigma

1:1000

Mouse

80 kDa

H

K7M2

Protocol for Normal Tissue Western Blot
Ezrin Normal Tissue Blot
Protocol for Tumor Tissue Western Blot
Ezrin Tumor Tissue Blot

p-Ezrin

COP:Cell Signaling

1:1000

Rabbit

80 kDa

 

K7M2
NIH 3T3

Protocol for Normal Tissue Western Blot
pEzrin Normal Tissue Blot
Protocol for Tumor Tissue Western Blot
pEzrin Tissue Blot

ERM

COP:Cell Signaling

1:1000

Rabbit

75,80 kDa

H,M,R,MK

K7M2
A431

Protocol for Normal Tissue Western Blot
ERM Normal Tissue Blot
Protocol for Tumor Tissue Western Blot
ERM Tumor Tissue Blot

P-ERM

COP:Cell Signaling

1:1000

Rabbit

75, 80 kDa

H,M,R,Mk

K7M2

Protocol for Normal Tissue Western Blot
pERM Normal Tissue Blot
Protocol for Tumor Tissue Western Blot
pERM Tumor Tissue Blot

P-4E-BP1

COP:Cell Signaling

1:1000

Rabbit

15-20 kDa

H,M,R,Z

K7M2

COP:Protocol
COP:Western Blot-Normal tissue
COP:Protocol-Tumor
COP:Western Blot-Tumor tissue

p44/42 Map Kinase

COP:Cell Signaling

1:1000

Rabbit

42,44 kDa

H,M,R,Hm,Z

K7M2

COP:Protocol
COP:Western Blot-Normal tissue
 COP:Protocol-Tumor
COP:Western Blot-Tumor tissue

P-P44/42 Map Kinase

COP: Cell Signaling

1:2000

Mouse

42,44 kDa

H,M,R,Hm,Z

K7M2

COP:Protocol
COP:Western Blot-Normal tissue
COP:Protocol-Tumor
COP:Western Blot-Tumor tissue

p70 S6 Kinase

COP:Cell Signaling

1:1000

Mouse

70,85 kDa

H,M,R,Mk

K7M2
NIH 3T3

COP:Protocol
COP:Western Blot-Normal tissue
COP:Protocol-Tumor
COP:Western Blot-Tumor tissue

P-p70 S6 Kinase

COP:Cell Signaling

1:1000

Mouse

70,85 kDa

H,M,R,Mk

K7M2
NIH 3T3

COP:Protocol  
COP:Western Blot-Normal tissue
COP:Protocol-Tumor
COP:Western Blot-Tumor tissue

For any questions please contact Christina Mazcko at mazckoc@mail.nih.gov

Attachments:

4058.pdf (application/pdf)
AKT Normal Tissues 6-6-06.doc (application/msword)
9271.pdf (application/pdf)
9742.pdf (application/pdf)
9741.pdf (application/pdf)
e8897dat.pdf (application/pdf)
3144.pdf (application/pdf)
3142.pdf (application/pdf)
3141.pdf (application/pdf)
9452.pdf (application/pdf)
2855.pdf (application/pdf)
9102.pdf (application/pdf)
9234.pdf (application/pdf)
9204.pdf (application/pdf)
Ezrin Normal Tissue.pptx (application/vnd.openxmlformats-officedocument.presentationml.presentation)
AKT-norm.doc (application/msword)
p-AKT-norm.doc (application/msword)
erm norm.doc (application/msword)
p-4ebp1-norm.doc (application/msword)
p70s6-norm.doc (application/msword)
p44.42 map kinase western protocol-norm.doc (application/msword)
ezrin norm.doc (application/msword)
erm tumor.doc (application/msword)
p-p44.42 map kinase norm.doc (application/msword)
p-ezrin norm.doc (application/msword)
p-erm tumor.doc (application/msword)
p-erm norm.doc (application/msword)
p-eIF4E norm.doc (application/msword)
p-p70s6-norm.doc (application/msword)
elF4E Norm 6.22.06.ppt (application/vnd.ms-powerpoint)
AKT Normal 6.08.06.ppt (application/vnd.ms-powerpoint)
4EBP1Norm 6.21.06.ppt (application/vnd.ms-powerpoint)
4ebp1 tumor 6.23.06.ppt (application/vnd.ms-powerpoint)
4ebp1 tumor.ppt (application/vnd.ms-powerpoint)
MTOR TUMOR 6.27.06.ppt (application/vnd.ms-powerpoint)
MTOR Norm 6.30.08.ppt (application/vnd.ms-powerpoint)
Ezrin Normal 6.08.06.ppt (application/vnd.ms-powerpoint)
ERM Normal 6.15.06.ppt (application/vnd.ms-powerpoint)
elF4E Tumor 6.23.06.ppt (application/vnd.ms-powerpoint)
p.erm norm 7.06.06.ppt (application/vnd.ms-powerpoint)
p.elF4E Tumor6.23.06.ppt (application/vnd.ms-powerpoint)
P.4EBPI w.phosphotase inhib. calyculin.ppt (application/vnd.ms-powerpoint)
P.elF4E norm wphosphotase inhib calyculin.ppt (application/vnd.ms-powerpoint)
p.4ebp1 tumor 6.23.06.ppt (application/vnd.ms-powerpoint)
P-MTOR.SER2448.norm calychin a 7.07.06.ppt (application/vnd.ms-powerpoint)
P-Ezrin.tyr363.norm 7.07.06.ppt (application/vnd.ms-powerpoint)
pAKT Normal tissue 6.08.06.ppt (application/vnd.ms-powerpoint)
P44.42 MAPK Tumor Tissue 6.14.06.ppt (application/vnd.ms-powerpoint)
P44.42 MAPK Normal Tissue 6.14.06.ppt (application/vnd.ms-powerpoint)
p.P44.42 MAPK Tumor 6.14.06.ppt (application/vnd.ms-powerpoint)
P.p44.42 MAP Kinase NORM 7.06.06 with phosphotase inhib calyculin.ppt (application/vnd.ms-powerpoint)
p.p70s6 tumor 6.23.06.ppt (application/vnd.ms-powerpoint)
p.p70s6 norm w. calychin a.ppt (application/vnd.ms-powerpoint)
P.P70s6 Norm 6.21.06.ppt (application/vnd.ms-powerpoint)
p70s6 tumor 6.23.06.ppt (application/vnd.ms-powerpoint)
P70s6 Norm 6.21.06.ppt (application/vnd.ms-powerpoint)
4EBP1 TUMOR.doc (application/octet-stream)
p-4EBP1 TUMOR.doc (application/octet-stream)
p44.42 map kinase western protocol-tumor.doc (application/octet-stream)
p-p44.42 map kinase tumor.doc (application/octet-stream)
2971.pdf (application/pdf)
2972.pdf (application/pdf)
sc-7998.pdf (application/pdf)
sc-16804.pdf (application/pdf)
SC-12910.pdf (application/pdf)
p-eIF4E norm(3).doc (application/msword)
eIF4E norm(3).doc (application/msword)
AKT-tumor.doc (application/msword)
eIF4E tumor.doc (application/msword)
ezrin tumor.doc (application/msword)
p70s6 tumor.doc (application/msword)
p-AKT-tumor.doc (application/msword)
p-eIF4E tumor.doc (application/msword)
p-ezrin tumor.doc (application/msword)
p-p70s6 tumor.doc (application/msword)
9202 p70 S6 kinase antibody.pdf (application/pdf)
9272 akt .pdf (application/pdf)
9101 p p44_42 daasheet.pdf (application/pdf)
CRAS-AKT-Protocol.pdf (application/pdf)
AKT Normal Tissues.jpg (image/jpeg)
AKT-tumor-2.pdf (application/pdf)
CRAS AKT Protocol Normal .pdf (application/pdf)
CRAS pAKT Normal.jpg (image/jpeg)
CRAS pAKT Tumor Protocol.pdf (application/pdf)
CRAS eIF4E Protocol Normal.pdf (application/pdf)
eIF4E Normal.jpg (image/jpeg)
CRAS eIF4E Protocol Tumor.pdf (application/pdf)
eIF4E Tumor Blot.jpg (image/jpeg)
CRAS peIF4E Protocol Normal.pdf (application/pdf)
CRAS peIF4E Normal Blot.jpg (image/jpeg)
CRAS peIF4E Protocol tumor.pdf (application/pdf)
CRAS peIF4E Tumor Blot.jpg (image/jpeg)
CRAS Ezrin Protocol Normal.pdf (application/pdf)
Ezrin Normal Blot.jpg (image/jpeg)
CRAS Ezrin Protocol Tumor.pdf (application/pdf)
p-ezrin tumor Protocol.pdf (application/pdf)
pEzrin Normal.jpg (image/jpeg)
CRAS p-ezrin normal Protocol.pdf (application/pdf)
CRAS erm Normal Protocol.pdf (application/pdf)
ERM Normal.jpg (image/jpeg)
erm tumor Protocol.pdf (application/pdf)
pERM Normal Protocol.pdf (application/pdf)
pERM Normal.jpg (image/jpeg)
pERM Tumor Protocol.pdf (application/pdf)